Gmsh Freeview Gallery
Gmsh & Freeview Mesh Visualization
3D mesh visualization showing tetrahedral elements and surfaces.
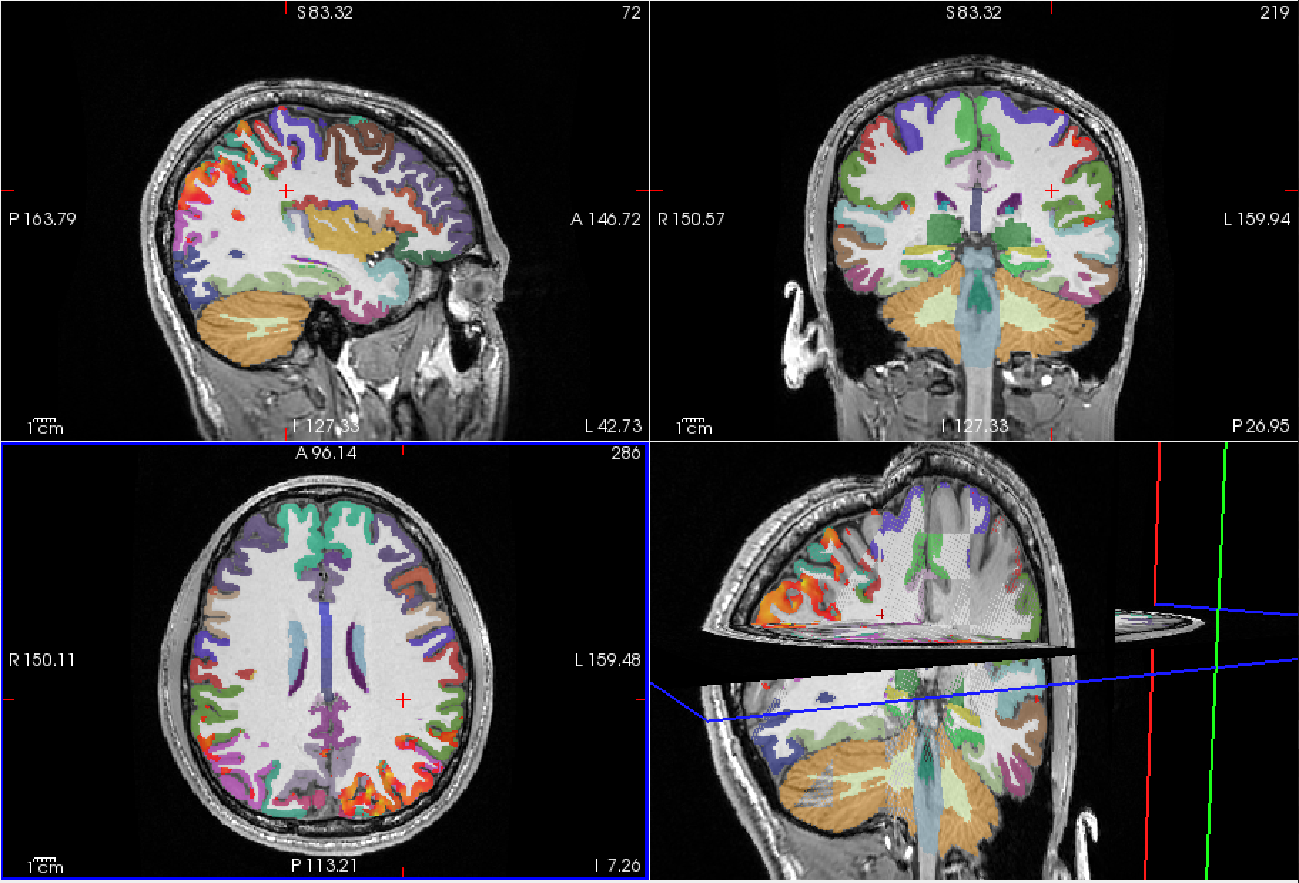
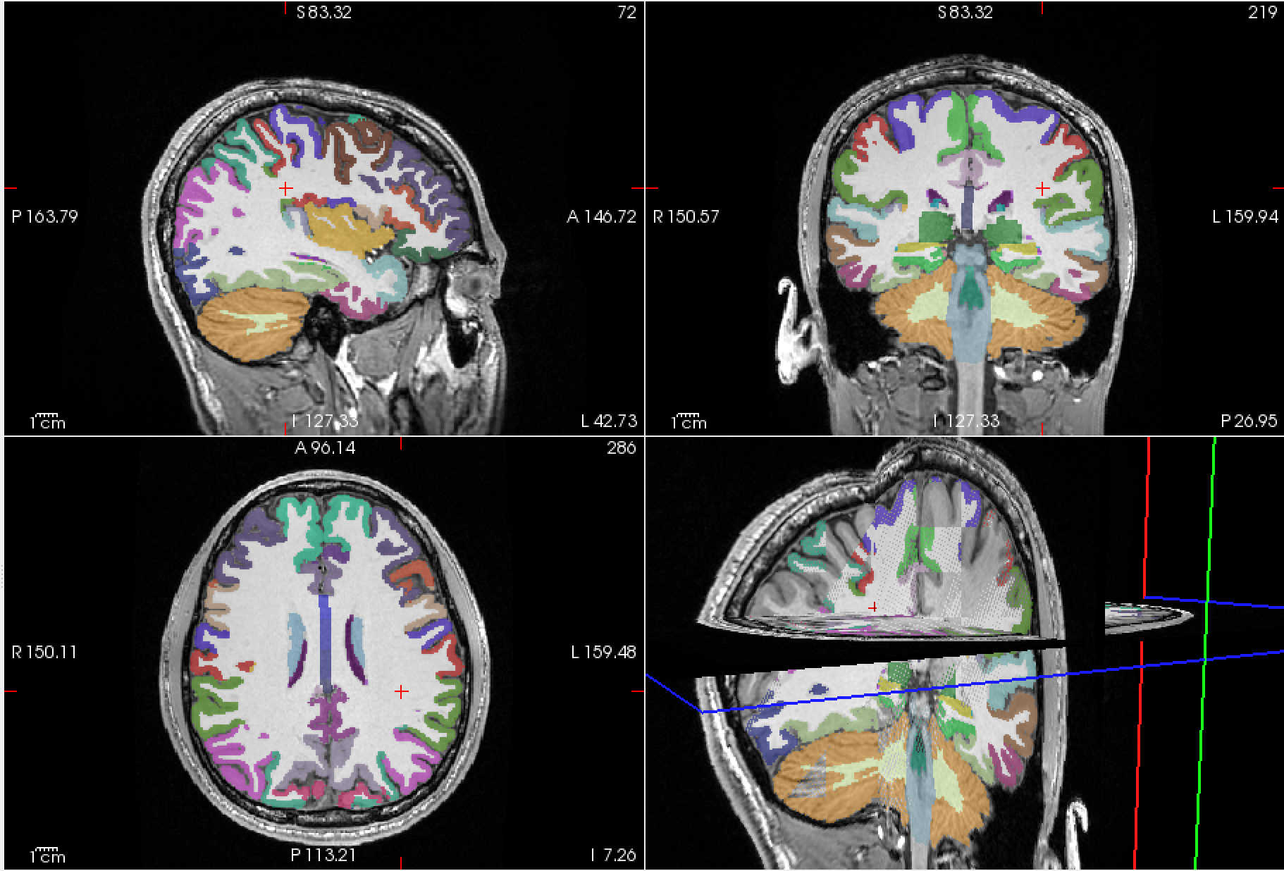
Freeview visualization with anatomical brain overlays.
Electric field distribution visualization on mesh surfaces.
Region of interest selection and highlighting in Freeview.
×